天枫庄资源网 Design By www.wosibo.com
PS是我们经常用来P图的软件,它强大的功能基本可以满足你的一切需求。那么可不可以用来给牙齿美白呢?当然是可以的啊,今天小编就教你如何使用PS给牙齿美白,下面我们来看看吧!
方法/步骤
首先我们打开桌面上的PS,如下图所示。
接下来按Ctrl+O打开你想要修改的图片,如下图所示。
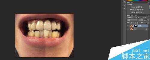
按Ctrl+j快捷键复制图层,得到图层1复制,如下图所示。
选择复制图层,点击工具栏下面的添加图层蒙版,给图层1 复制添加一个蒙版,把前景色和背景色分别改为白色和黑色。如下图所示
选择图层1 复制的图层蒙版,选择画笔工具,用背景色(黑色)在牙齿上涂抹,如下图所示。
涂抹完后按快捷键Ctrl+I进行反向,以保留牙齿。如下图
找到属性栏中的“通道”,选择我们刚才涂抹的部分,转化为选区。如下图所示。
转化为选区后,选择画笔工具,颜色改为白色,笔刷改为软笔刷,不透明度改为50%,在牙齿上涂抹。如下图所示
涂抹完毕后,牙齿就已经变白啦。如下图
以上就是PS给牙齿进行美白处理方法介绍,操作很简单的,大家学会了吗?希望这篇文章能对大家有所帮助!
标签:
PS,牙齿,美白
天枫庄资源网 Design By www.wosibo.com
广告合作:本站广告合作请联系QQ:858582 申请时备注:广告合作(否则不回)
免责声明:本站文章均来自网站采集或用户投稿,网站不提供任何软件下载或自行开发的软件! 如有用户或公司发现本站内容信息存在侵权行为,请邮件告知! 858582#qq.com
免责声明:本站文章均来自网站采集或用户投稿,网站不提供任何软件下载或自行开发的软件! 如有用户或公司发现本站内容信息存在侵权行为,请邮件告知! 858582#qq.com
天枫庄资源网 Design By www.wosibo.com
暂无PS给牙齿进行美白处理教程的评论...
更新日志
2026年03月18日
2026年03月18日
- 小骆驼-《草原狼2(蓝光CD)》[原抓WAV+CUE]
- 群星《欢迎来到我身边 电影原声专辑》[320K/MP3][105.02MB]
- 群星《欢迎来到我身边 电影原声专辑》[FLAC/分轨][480.9MB]
- 雷婷《梦里蓝天HQⅡ》 2023头版限量编号低速原抓[WAV+CUE][463M]
- 群星《2024好听新歌42》AI调整音效【WAV分轨】
- 王思雨-《思念陪着鸿雁飞》WAV
- 王思雨《喜马拉雅HQ》头版限量编号[WAV+CUE]
- 李健《无时无刻》[WAV+CUE][590M]
- 陈奕迅《酝酿》[WAV分轨][502M]
- 卓依婷《化蝶》2CD[WAV+CUE][1.1G]
- 群星《吉他王(黑胶CD)》[WAV+CUE]
- 齐秦《穿乐(穿越)》[WAV+CUE]
- 发烧珍品《数位CD音响测试-动向效果(九)》【WAV+CUE】
- 邝美云《邝美云精装歌集》[DSF][1.6G]
- 吕方《爱一回伤一回》[WAV+CUE][454M]











